Можно ли жить с половиной мозга?

Автор
918
Можно ли жить с половиной мозга?

С виду такие люди практически не отличаются от тех, кто имеет полноценный орган. Но как такое происходит?

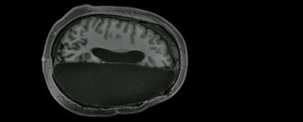
Ученые сделали снимки МРТ нескольких людей, живущих с половиной мозга. Работа позволила объяснить это явление.

Иногда в СМИ появляются истории о людях, живущих без одного полушария или крупных участков мозга. При этом некоторые из них даже не знают об этом, пока не сходят на МРТ головного мозга. 

Ответить на этот вопрос решили ученые из Калифорнийского технологического института. Они провели магнитно-резонансную томографию шестерым пациентам, которым в детстве было удалено полушарие мозга или крупная его часть из-за редкой и страшной формы эпилепсии. Эта процедура называется гемисферэктомией и используется только в том случае, когда приступы эпилепсии угрожают жизни пациента или специальные препараты не подействовали.

Сравнивая МРТ-снимки этих участников с шестью контрольными, у которых не было удалено ни одной части мозга, а также с базой данных из 1482 изображений, авторы работы обнаружили, что паттерн активности мозга в состоянии покоя у участников с половиной мозга удивительно похож на наблюдаемый у людей, имеющих весь объем мозгового вещества. Но команда также выявила разницу: у участников, которым была сделана гемисферэктомия, было найдено гораздо больше связей между мозговыми сетями.

[news_post id='5238205' name='' img='' align='left']

Эти сети управляют такими вещами, как внимание, сенсорная и лимбическая (эмоции и память) деятельность, и часто вовлекают оба полушария головного мозга. Исследования показывают, что внутрисетевая активность связана со способностями, такими как моторная деятельность, тогда как соединения между сетями необходимы для разных исполнительных способностей, например рабочей памяти.

Это увеличение числа связей было обнаружено у всех шести пациентов, прошедших через гемисферэктомию. Но во всех случаях образование связей наблюдалось между различными сетями. Так, например, сеть внимания показала больше подключений к визуальной сети, чем обычно. Это увеличение связей между сетями отражает то, как оставшаяся часть мозга компенсирует потерю его «вычислительных» ресурсов, чтобы поддерживать когнитивные функции и сознание, объясняют исследователи.