Дістали уламок із серця "магнітом": київські хірурги врятували захисника (фото)

Читать на русском
Автор
531
Операцію проводили столичні медики
Операцію проводили столичні медики. Фото Колаж "Телеграф"

На щастя, операція та післяопераційний період пройшли без ускладнень

Столичним медикам вдалося провести складну операцію та допомогти пацієнту, який скаржився на сильну задишку та біль у ділянці серця. Як виявилося, перебуваючи в зоні бойових дій, чоловік отримав тяжке осколкове поранення грудної клітки і у нього в серці застряг уламок.

Фахівці вирішили проводити операцію за допомогою спеціального магніту. Про це повідомили у прес-службі Національного Наукового Центру хірургії та трансплантології імені А.А.Шалімова.

Так, до медиків за допомогою звернувся 46-річний чоловік, який скаржився на сильний біль у грудній клітці, особливо в області серця. Пацієнт не міг зробити повноцінний вдих і в нього з’явилася задишка.

Як виявилося, зовсім недавно чоловік перебував у зоні бойових дій, де й отримав важке осколкове поранення грудної клітки.

Чоловік отримав тяжке поранення грудної клітки на війні

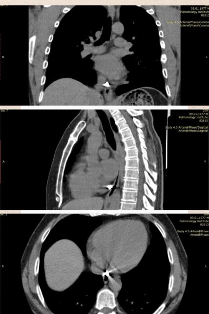
Фахівці провели КТ дослідження та виявили у чоловіка в перикарді (зовнішня сполучнотканинна оболонка серця) металевий уламок значних розмірів – 8 на 9 міліметрів.

Специфічне розташування осколка ускладнювало оперативне втручання та було вирішено провести мініінвазивне торакоскопічне видалення уламка із застосуванням спеціального магніту. Пацієнту зробили невеликий надріз у грудній стінці та витягли звідти стороннє тіло.

Операцію провели за допомогою магніту

На щастя, операція та післяопераційний період пройшли без ускладнень. Пацієнт проходить амбулаторне лікування, де він готується до ще одного хірургічного втручання.

Уламок був успішно вилучений

Довідково: Національний Науковий Центр хірургії та трансплантології ім. А.А. Шалімова — державний медичний заклад, який існує з 1972 року.

У клініці Інституту вперше в Україні виконано:

  • трансплантація серця (2001);
  • трансплантація печінки від живого сімейного донора (2001);
  • трансплантація кісткової тканини (2004);
  • одночасна трансплантація підшлункової залози та нирки від живого сімейного донора (2005 р. – вперше серед країн СНД).

Раніше "Телеграф" розповідав про те, що у Києві фахівцям вдалося витягти з хребта пацієнта шматок ворожої ракети, який застряг у суглобі між хребцями. На щастя, постраждалий добре переніс хірургічне втручання, а сама операція пройшла успішно.